O IPS e-max CAD, feito de dissilicato de lítio, foi criado para a confecção de restaurações estéticas de alto padrão (onlays, inlays, coroas, pontes fixas e laminados).
Com excelentes propriedades mecânicas e ópticas, permite resultados naturais e duradouros, com opalescência, translucidez e transparência semelhantes aos dentes naturais.
Pode utilizar a eficiente tecnologia digital CAD/CAM ou ser feita de forma analógica, por injeção. Essas restaurações também podem ser cimentadas convencionalmente.

Lentes de contato, peças finíssimas de cerâmica que permitem pouco desgaste na estrutura dental

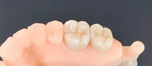
Coroas metal free e-max

Coroa metal free e-max com resultado estético de alto padrão
Coroas metal free e-

